Early Implant Placement, Contour Augmentation, and Autologous Connective-Tissue Graft Using a Tunneling Technique to Replace an Upper Incisor with Generalized Gingival Recession - Clinical Case Report - Home
Clinical Case Report
Early Implant Placement, Contour Augmentation, and Autologous Connective-Tissue Graft Using a Tunneling Technique to Replace an Upper Incisor with Generalized Gingival Recession
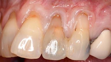
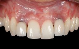
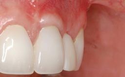
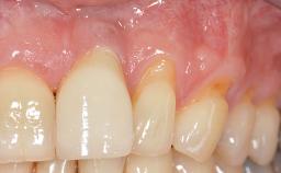
Variations in soft-tissue volume, evidenced either by an overabundance (Evian and coworkers 1993; Levine and McGuire1997; Dolt and Robbins 1997) or by a deficiency of soft or hard tissue can complicate implant-supported rehabilitations in the esthetic zone (Lorenzana 2008; Lorenzana and coworkers 2009). The present case illustrates the replacement of a failing upper left lateral incisor complicated by generalized severe gingival recession in the esthetic zone.
- Surgical SAC classification
- Complex
- Prosthodontic SAC classification
- Complex
- Source
- Treatment Guide 12
- Purchase price
- 10 Academy Coins
- CPD/CME
- 0.25 hours
Share this page
Download the QR code with a link to this page and use it in your presentations or share it on social media.
Download QR code