Periodontal Plastic Surgery and Prosthetic Procedures to Treat Peri-Implant Soft-Tissue Dehiscences - Clinical Case Report - Home
Clinical Case Report
Periodontal Plastic Surgery and Prosthetic Procedures to Treat Peri-Implant Soft-Tissue Dehiscences
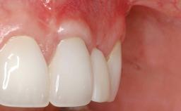
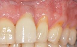
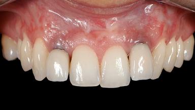
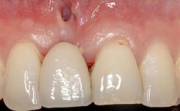
A 30-year-old woman was referred by her general dentist for evaluation of an esthetic complication related to previous implant treatment for congenitally missing maxillary lateral incisors. The patient’s chief complaint was the inadequate esthetic appearance of her smile. The case demonstrates the use of a combined approach to achieve optimal results. Two different flap designs - a tunnel technique and a coronally advanced flap - are employed based on the surgical objectives for the affected site.
- Surgical SAC classification
- Advanced
- Prosthodontic SAC classification
- Complex
- Source
- Treatment Guide 12
- Purchase price
- 10 Academy Coins
- CPD/CME
- 0.25 hours
Share this page
Download the QR code with a link to this page and use it in your presentations or share it on social media.
Download QR code