インプラント審美治療における総合的アプローチ - Congress Lectures - Home
Treatment Outcomes and Continuing Care
インプラント審美治療における総合的アプローチ
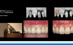
本レクチャーではインプラント治療における総合的なアプローチが紹介されている。難症例に対する口腔外科、歯周病科、補綴科、矯正科それぞれの専門医が協力し、さらに歯科技工士の支援によって満足のいく結果が得られることが症例を通して案内されている。即時埋入とGBRの併用例、狭小な先天欠損部へのブロック骨移植併用例、上顎無歯顎症例の3通りに分けて紹介されている。とくに上顎無歯顎症例では、骨欠損の状態をMinor,Moderate,Majorに分類し、それぞれに対するインプラント補綴のデザインや材質の選択が解説されている。
このレクチャーの受講によって以下を学ぶことが可能である。
- 骨欠損の形態によってMinor,Moderate,Majorに分類された上顎無歯顎症例に対するインプラント補綴のデザインや材質の正しい選択
- インプラント補綴の出来映えに対するインプラント埋入位置の重要性
- インプラント埋入位置を決定するためのCTによる診断、埋入位置を正確に再現するための ガイドを用いた埋入、インプラント補綴作製のためのデジタルインスツルメントの必要性
- Duration
- 52 minutes
- Source
- ITI Congress Japan 2015
- CPD/CME
- 0.87 hours
- Purchase price
- 26 Academy Coins
Share this page
Download the QR code with a link to this page and use it in your presentations or share it on social media.
Download QR code