Congress Lecture

0.0The average rating is 0 stars out of 5.
Prosthodontic Planning and Procedures

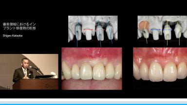
審美領域におけるインプラント修復物の形態

Shigeo Kataoka

本レクチャーでは審美領域でのインプラント補綴装置に必要な要件が、歯科技工の立場から述べられている。その要件はインプラント周囲粘膜の形態調整のための暫間補綴装置作製とその粘膜を健康的に維持する最終補綴装置作製の2点に絞られている。とくにアバットメント形態が従うべき原則が具体的に提示され、臨床例によってその実践の結果が示されている。目新しい方法の紹介はないと演者は述べているが、各所に有用な技術がちりばめられており、インプラント埋入の参考にもなる。

このレクチャーの受講によって以下を学ぶことが可能である。

  • 歯肉やインプラント周囲粘膜の頚部辺縁形態(gingival zenith)を認識する重要性
  • インプラントのアバットメントに必要な基本形態暫
  • 間補綴装置、最終補綴装置作製の基本手順
Duration
23 minutes
Source
ITI Congress Japan 2015
CPD/CME
0.38 hours
Purchase price
12 Academy Coins
Publication date: Feb 4, 2016 Last review date: Jan 28, 2024 Next review date: Jan 28, 2027
  • Congress Lecture
  • Esthetic Outcome
  • Esthetics
  • Japanese
  • Languages
  • Outcomes
  • Prosthesis Design
  • Prosthodontic Planning & Procedures
  • Prosthodontics

ITI QR code Mvc

Share this page

Download the QR code with a link to this page and use it in your presentations or share it on social media.

Download QR code
QR code