Case

5.0The average rating is 5 stars out of 5.

Replacement of Multiple Teeth in a Partially Dentate Posterior Mandible with a Fixed Dental Prosthesis Using a Flapless Approach

Yoji Kamiura

An 80-year-old female patient was referred to clinic for rehabilitation of her dentition. The patient’s medical history revealed no significant findings that would preclude routine dental and oral surgical procedures. She reported no drug allergies and was currently taking no prescription medications.

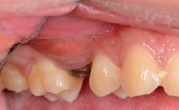
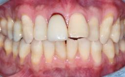
Her chief complaint was her inability to masticate efficiently due to the recent loss of her mandibular second premolars and first molars bilaterally. She expressed a desire for fixed prostheses in the shortest possible time due to her advanced age, requesting that replacement teeth should look as natural as possible. She was otherwise comfortable and not experiencing any symptoms from her teeth.

Surgical SAC classification
Advanced
Prosthodontic SAC classification
Straightforward
Source
User Case
Purchase price
10 Academy Coins
CPD/CME
0.15 hours

General information

Case Type Short Space
Jaw Mandible
Area Posterior
# of Teeth 4
# of Implants 4
Type of Implants One-Piece|Two-Piece
Attachment One-Piece|Two-Piece
Bone Augmentation No
Augmentation Materials -
Guided Surgery Yes
Soft Tissue Grafting None
Abutment Type Customized
Prosthesis Type FDP

Esthetic Risk Assessment

Esthetic Risk Factors Low Medium High
Medical Status Healthy Compromised
Smoking Habit Non-smoker Light smoker (< 10 cigarettes per day) Heavy smoker (>= 10 cigarettes per day)
Patient's Esthetic Expectations Low Medium High
Lip Line No exposure of papillae Exposure of papillae Full exposure of mucosa margin
Periodontal Phenotype Low-scalloped, thick Medium-scalloped, medium-thick High-scalloped, thin
Shape of Tooth Crowns Rectangular Triangular
Infection at Implant Site None Chronic Acute
Bone Level at Adjacent Teeth <= 5 mm to contact point 5.5 to 6.5 mm to contact point > 7 mm to contact point
Prosthodontic Status of Neighboring Teeth Virgin Restored
Width of Edentulous Span 1 tooth (>= 7 mm) 1 tooth (< 7 mm) 2 teeth or more
Soft Tissue Anatomy Intact Defective
Bone Volume Horizontally and vertically sufficient Horizontally deficient Deficient vertically or deficient vertically AND horizontally
  • * General SAC assessment modifiers that are also part of the ERA. To avoid redundancy they are listed in this section even if no complete ERA has been made.

  • ** Not applicable to the ERA of immediate placement cases and replaced by "Socket Integrity" listed below under "Surgical SAC Classification". For all other placement types this value is a classification determinant and listed here even if no complete ERA has been made.

Surgical SAC classification

SAC Level Advanced
Defining Characteristics Up to three missing teeth to be replaced with an implant-borne prosthesis or prostheses
Modality -
Placement Protocol Early or late implant placement
Tooth Site -
Socket Morphology -
Socket Integrity -
Bone Volume Horizontally and vertically sufficient
Anatomic Risk Low
Esthetic Risk Low
Complexity Moderate
Risk of Complications Moderate

Prosthodontic SAC classification

SAC Level Straightforward
Defining Characteristics Up to three missing teeth to be replaced with an implant-borne restoration or restorations
Loading Protocol Conventional or early
Retention Screw-retained, with 2 splinted implants Screw-retained, with 2 splinted implants
Maxillomandibular Relationship -
Mesio-Distal Space Anatomic space corresponding to the missing teeth +/- 1 mm
Inter-Arch Distance > 8 mm
Bruxism Absent
Esthetic Risk Low
Provisional Implant-Supported Prosthesis Prosthodontic margin < 3 mm apical to mucosal crest Prosthodontic margin < 3 mm apical to mucosal crest
Interim Prosthesis during Healing - -
Occlusion/Articulation Harmonious
Occlusal Scheme/Issues -

Surgical SAC Modifiers

Periodontal Status Healthy

Prosthodontic SAC Modifiers

Soft Tissue Contour and Volume -

General SAC Modifiers

Oral Hygiene and Compliance Sufficient
Access Adequate
Craniofacial/Skeletal Growth Completed
Publication date: Feb 5, 2017 Last review date: Jan 30, 2024 Next review date: Jan 30, 2027

ITI QR code Mvc

Share this page

Download the QR code with a link to this page and use it in your presentations or share it on social media.

Download QR code
QR code