Peri-Implant Mucositis Treatment Outcomes on an Implant with a Submucosal Restoration Margin - Clinical Case Report - Home
Clinical Case Report
Peri-Implant Mucositis Treatment Outcomes on an Implant with a Submucosal Restoration Margin
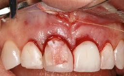
Mauricio Araujo and Flauvia Matarazzo present this straightforward clinical case, demonstrating the potential effect of implant placement depth on the resolution of peri-implant treatment. A 42-year-old systemically healthy female patient, a non-smoker with no history of periodontitis, was treated at the Dental Clinic at the State University of Maringá, Brazil between 2008 and 2009, when she received five implants restored with single crowns at sites 14, 26, 27, 36, and 46. After delivery of the implant-supported prosthetic restorations, the patient was enrolled in the supportive peri-implant therapy (SPiT) maintenance program at the same university.
- Surgical SAC classification
- -
- Prosthodontic SAC classification
- -
- Source
- Treatment Guide 13
- Purchase price
- 10 Academy Coins
- CPD/CME
- 0.25 hours
Share this page
Download the QR code with a link to this page and use it in your presentations or share it on social media.
Download QR code