Implant Placement with Simultaneous SFE: Transcrestal Technique with DBBM - Clinical Case Report - Home
Clinical Case Report
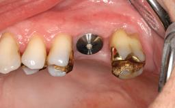
Implant Placement with Simultaneous SFE: Transcrestal Technique with DBBM
A 50-year-old man presented at the Department for Periodontology and Fixed Prosthodontics, University of Bern, Switzerland. His chewing function was impaired, as he had lost multiple teeth in the maxilla and mandible. Four teeth remained in the mandible, all showing increased mobility. The patient had received a telescopic removable partial denture (RPD) in the maxilla and a metal-framework RPD in the mandible about 10 years previously. At that time, he could not adapt to the RPDs due to a strong gag reflex, and after a few weeks of trying, he stopped using them. At the time of presentation at the University of Bern, he had been without molars for over a decade.
- Surgical SAC classification
- Complex
- Prosthodontic SAC classification
- Straightforward
- Source
- Treatment Guide 5
- Purchase price
- 10 Academy Coins
- CPD/CME
- 0.25 hours
Share this page
Download the QR code with a link to this page and use it in your presentations or share it on social media.
Download QR code