Peri-Implant Soft-Tissue Management and Integration - Congress Lectures - Home
Surgical Planning and Procedures
Peri-Implant Soft-Tissue Management and Integration
This is a recording of Mario Roccuzzo's ITI Webinar on ITI Academy live.
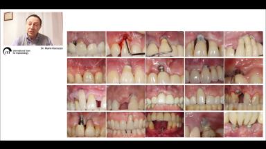
One of the greatest challenges facing clinicians is to obtain an early and long-standing effective mucosa seal, capable of biologically protecting the peri-implant structures. This is particularly difficult in compromised sites, due to trauma, atrophy, and/or periodontal disease. Recent systematic reviews have confirmed that the presence of an appropriate amount of keratinized mucosa is desirable.
At the end of this webinar you should be able to…
- understand the difference between osseointegration and soft-tissue integration
- evaluate peri-implant soft tissues conditions for long-term results
- identify which conditions are risk factors for implant maintenance
- determine the situations where soft tissue grating is indicated
- Duration
- 47 minutes
- Source
- ITI Academy live webinar
- CPD/CME
- 0 hours
- Purchase price
- 0 Academy Coins
Share this page
Download the QR code with a link to this page and use it in your presentations or share it on social media.
Download QR code