Iliac-Crest Block for Vertical and Horizontal Space Filling in the Anterior Maxilla - Clinical Case Report - Home
Clinical Case Report
Iliac-Crest Block for Vertical and Horizontal Space Filling in the Anterior Maxilla
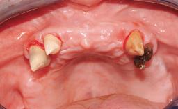
A 31-year-old man presented to our clinic 30 days after a motor vehicle accident in which he had suffered a dentoalveolar fracture in the anterior maxilla, including avulsion of teeth 12 and 11 and luxation of tooth 21. He was first treated on the night of the accident in a small city hospital with no oral and maxillofacial surgeon on the staff. A wired retention had been applied and the teeth repositioned to the best of the clinicians’ abilities. When he first presented to our care, the patient showed extrusion of teeth 12 and 11 associated with gingival recession due to bone loss in the anterior maxilla, and the stainless steel wires were still present.
- Surgical SAC classification
- Complex
- Prosthodontic SAC classification
- Advanced
- Purchase price
- 10 Academy Coins
- CPD/CME
- 0.25 hours
Share this page
Download the QR code with a link to this page and use it in your presentations or share it on social media.
Download QR code