Placement of Narrow Diameter Two-Piece Implants with Simultaneous GBR - Clinical Case Video - Home
Clinical Case Video
Placement of Narrow Diameter Two-Piece Implants with Simultaneous GBR
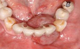
Surgical treatment of a 68-year-old female patient with a distal extension situation in the left mandible. As the CBCT analysis reveals, the bone crest anatomy in the area is not ideal and necessitates an augmentation procedure to achieve a good long-term prognosis for the planned implants and their prostheses.
After the placement of three diameter-reduced two-piece implants the bone is augmented with autologous bone chips and DBBM particles to enlarge the crest volume. The surgery is completed with the application of two membrane layers and primary wound closure.
For soft tissue management, the initial healing caps are replaced with a longer type 8 weeks after implant placement in a second intervention before prosthodontic treatment is initiated.
The case concludes with the presentation of the final prostheses at the 3-year follow-up, demonstrating a stable and pleasing soft- and hard-tissue situation.
Produced in cooperation with CCDE and Video-Atelier Keel.
- Surgical SAC classification
- Advanced
- Prosthodontic SAC classification
- Advanced
- Duration
- 18 minutes
- Purchase price
- 18 Academy Coins
- CPD/CME
- 0.3 hours
Share this page
Download the QR code with a link to this page and use it in your presentations or share it on social media.
Download QR code