Early Implant Placement with GBR using DBBM - Clinical Case Video - Home
Clinical Case Video
Early Implant Placement with GBR using DBBM
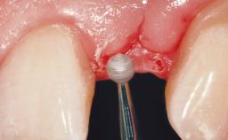
Early (Type 2) placement in a healthy, non-smoking male patient aged 28 years who required removal and replacement of the maxillary right central incisor due to external root resorption. A horizontal bone deficit requires a simultaneous augmentation procedure. The overall esthetic risk is high due to the horizontal bone deficit, medium to high lip line with exposure of the soft tissue margin when smiling, and the patient’s high esthetic expectations.
After flapless tooth extraction and a healing period of 6 weeks, a standard-diameter one-piece implant is placed. A gap between the implant and the facial bone wall is filled with autogenous bone chips harvested from the anterior nasal spine and covered with DBBM particles. Contour augmentation on the facial aspect is achieved using DBBM particles and a collagen membrane, according to the principles of guided bone regeneration (GBR). The flap is coronally repositioned for semisubmerged healing.
- Surgical SAC classification
- Advanced
- Prosthodontic SAC classification
- -
- Duration
- 32 minutes
- Purchase price
- 32 Academy Coins
- CPD/CME
- 0.53 hours
Share this page
Download the QR code with a link to this page and use it in your presentations or share it on social media.
Download QR code