Rehabilitation of a Mandibular Distal Extension Situation in a 89-year-old Patient with an Implant-supported Fixed Dental Prosthesis - Clinical Case Report - Home
Clinical Case Report
Rehabilitation of a Mandibular Distal Extension Situation in a 89-year-old Patient with an Implant-supported Fixed Dental Prosthesis
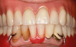
A 89-year-old female patient had been referred to the Department of Oral Surgery and Stomatology at the University of Bern for consideration of implant therapy. A long-standing three-unit fixed dental prosthesis (FDP) supported by teeth 45 and 47 showed a loss of retention due to deep secondary caries at tooth 45. The referring dentist removed this tooth prior to referral. At that time, the patient had already undergone implant therapy at our department twice, at the age of 85, at which time hopeless maxillary premolars and molars had to be removed bilaterally. Implant-supported FDPs in both quadrants were provided by the referring dentist following implant surgery at our department, since the patient could not adapt to a removable dental prosthesis in the maxilla.
- Surgical SAC classification
- Straightforward
- Prosthodontic SAC classification
- Straightforward
- Source
- Treatment Guide 9
- Purchase price
- 10 Academy Coins
- CPD/CME
- 0.25 hours
Share this page
Download the QR code with a link to this page and use it in your presentations or share it on social media.
Download QR code