Early Placement of an Implant in a Maxillary Left First Premolar Site - Clinical Case Report - Home
Clinical Case Report
Early Placement of an Implant in a Maxillary Left First Premolar Site
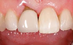
In 2004, a 36-year-old male patient, a non-smoker, presented due to acute pain in the premolar region of the upper left jaw. An orthopantomograph revealed that tooth 24 had been endodontically treated. It also became evident that, during root-canal filling,endodontic filling material had been pushed beyond the apex. This material was located very close to the maxillary sinus floor. Due to this finding in combination with the severe pain and a possible root fracture, tooth 24 was extracted. The esthetic expectations of the patient were not too high and his individual esthetic risk profile summed up to a medium risk profile.
- Surgical SAC classification
- Advanced
- Prosthodontic SAC classification
- Advanced
- Source
- Treatment Guide 3
- Purchase price
- 10 Academy Coins
- CPD/CME
- 0.25 hours
Share this page
Download the QR code with a link to this page and use it in your presentations or share it on social media.
Download QR code