Cement vs. Screw Retention - Congress Lectures - Home
Cement vs. Screw Retention
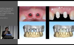
The lecture describes treatment planning for screw-retained and cemented prostheses and includes clinical cases related to each procedure. Advantages and disadvantages of screw- and cement-retained prostheses are given, including indications for each. Specific aspects of single-tooth implant prostheses, implant fixed dental prostheses (FDP), and full-arch prostheses are presented.
Dr. Wittneben also shares the results of clinical studies on the relationship of residual cement and margin position to the incidence of peri-implantitis. She outlines the research supporting the most recent ITI Consensus Statements related to screw vs. cement retention. This lecture concludes with clinical recommendations regarding the selection of a retention method.
At the end of this Congress Lecture you should be able to...
- plan implant positioning according to the intended type of prosthesis retention
- design prostheses for screw-retained and/or cement-retained implant situations
- list indications for both types of retention options
- Duration
- 30 minutes
- Source
- ITI World Symposium 2014
- CPD/CME
- 0.5 hours
- Purchase price
- 15 Academy Coins
Share this page
Download the QR code with a link to this page and use it in your presentations or share it on social media.
Download QR code