Congress Lecture

0.0The average rating is 0 stars out of 5.
Prosthodontic Planning and Procedures

長期成功のためのインプラントと上部構造

Toshikazu Iijima

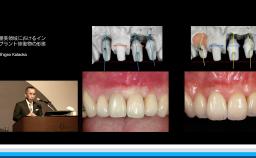
ストローマンインプラントが開発されてから40年以上が経過し、インプラント材料ではTi-Zr合金のRoxolid、上部構造では二ケイ酸リチウムや酸化ジルコニアなどの高強度な材料が搭乗しており、これらの材料を適切に使用することにより合併症を防ぐことができる。この講演では具体的な症例から適切なインプラントや材料の使用法について学ぶことができる

このレクチャーの受講によって以下を学ぶことが可能である。

  • スクリューのゆるみへの対処法やスクリューやセメントを用いない補綴物の固定法(テーパーロックなど)について知る
  • 超高齢化社会に対応できる修理・メインテナンスしやすい補綴物の作成法について知る
  • 高い審美性と強度を有する補綴物の作成法について知る
  • 歯肉との貫通部が細いインプラントを用いて、審美的な結果を得る方法について知る
  • インプラントと将来的な治療法(フェイススキャンによる診断、マウスピース矯正など)と組み合わせた治療法について知る
Duration
26 minutes
Source
ITI Congress Japan 2018
CPD/CME
0.43 hours
Purchase price
13 Academy Coins
Publication date: Jan 24, 2018 Last review date: Jan 17, 2024 Next review date: Jan 17, 2027
  • Complications
  • Components & Materials
  • Congress Lecture
  • Esthetics
  • Japanese
  • Languages
  • Mechanical/Technical Complications
  • Outcomes
  • Prosthesis Design
  • Prosthesis Materials
  • Prosthodontic Planning & Procedures
  • Prosthodontics

ITI QR code Mvc

Share this page

Download the QR code with a link to this page and use it in your presentations or share it on social media.

Download QR code
QR code