Surgical Management of Peri-Implantitis: Removal of Implant Due to Recurrent Infection Using an Implant-Retrieval Tool - Clinical Case Report - Home
Clinical Case Report
Surgical Management of Peri-Implantitis: Removal of Implant Due to Recurrent Infection Using an Implant-Retrieval Tool
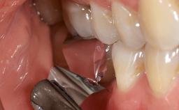
Despite anti-infective surgical treatment, some patients may experience recurrent infection and progressive bone loss requiring additional treatment. This case describes a conservative approach using an implant retrieval tool without the need for excessive bone removal or use of a trephine.
A 65-year-old female patient was referred to the periodontist for assessment and management of infection associated with an implant at site 12. The general dentist had noted suppuration on probing during examination.
- Surgical SAC classification
- -
- Prosthodontic SAC classification
- -
- Source
- Treatment Guide 13
- Purchase price
- 10 Academy Coins
- CPD/CME
- 0.25 hours
Share this page
Download the QR code with a link to this page and use it in your presentations or share it on social media.
Download QR code