Case

5.0The average rating is 5 stars out of 5.

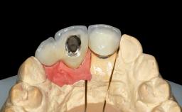
Replacement of Two Central Incisors and One Lateral Incisor with a Fixed Dental Prosthesis on Two Tissue-Level Implants

Daniel Buser, Christopher Noel Hart

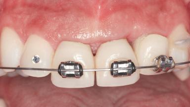
A 29-year-old woman was referred to our department for implant therapy. At the day of examination, a detailed Esthetic Risk Assessment (ERA) was performed (Martin and coworkers 2006). The patient was in good general health, but a heavy smoker (more than 20 cigarettes per day). When her midface had been injured in a severe car accident 10 years earlier, the dentition in the anterior maxilla was also affected. The injured anterior teeth (11, 21, 22) required endodontic treatment and were restored with crowns. Within a few years of the accident, the patient developed a considerable esthetic problem due to progressive recession of the gingiva in the area of the restored teeth. The local status demonstrated severe exposure of the root surfaces, especially of root 21, and black triangles between the three teeth. Thanks to her medium smile line, the patient was able to conceal the exposed root surfaces, but not the black triangles.

Surgical SAC classification
Complex
Prosthodontic SAC classification
Advanced
Source
Treatment Guide 6
Purchase price
10 Academy Coins
CPD/CME
0.15 hours

General information

Case Type Short Space
Jaw Maxilla
Area Anterior
# of Teeth 3
# of Implants 2
Type of Implants One-Piece
Attachment One-Piece
Bone Augmentation Horizontal|Simultaneous
Augmentation Materials Autogenous chips|Xenogenous|Membrane
Guided Surgery No
Soft Tissue Grafting None
Abutment Type Standard
Prosthesis Type FDP

Esthetic Risk Assessment

Esthetic Risk Factors Low Medium High
Medical Status Healthy Compromised
Smoking Habit Non-smoker Light smoker (< 10 cigarettes per day) Heavy smoker (>= 10 cigarettes per day)
Patient's Esthetic Expectations Low Medium High
Lip Line No exposure of papillae Exposure of papillae Full exposure of mucosa margin
Periodontal Phenotype Low-scalloped, thick Medium-scalloped, medium-thick High-scalloped, thin
Shape of Tooth Crowns Rectangular Triangular
Infection at Implant Site None Chronic Acute
Bone Level at Adjacent Teeth <= 5 mm to contact point 5.5 to 6.5 mm to contact point > 7 mm to contact point
Prosthodontic Status of Neighboring Teeth Virgin Restored
Width of Edentulous Span 1 tooth (>= 7 mm) 1 tooth (< 7 mm) 2 teeth or more
Soft Tissue Anatomy Intact Defective
Bone Volume Horizontally and vertically sufficient Horizontally deficient Deficient vertically or deficient vertically AND horizontally
  • * General SAC assessment modifiers that are also part of the ERA. To avoid redundancy they are listed in this section even if no complete ERA has been made.

  • ** Not applicable to the ERA of immediate placement cases and replaced by "Socket Integrity" listed below under "Surgical SAC Classification". For all other placement types this value is a classification determinant and listed here even if no complete ERA has been made.

Surgical SAC classification

SAC Level Complex
Defining Characteristics Up to three missing teeth to be replaced by two implants
Modality -
Placement Protocol Early or late implant placement
Tooth Site -
Socket Morphology -
Socket Integrity -
Bone Volume Deficient vertically or deficient vertically AND horizontally
Anatomic Risk High
Esthetic Risk High
Complexity High
Risk of Complications High

Prosthodontic SAC classification

SAC Level Advanced
Defining Characteristics Up to three missing teeth to be replaced with an implant-borne restoration or restorations
Loading Protocol Conventional or early
Retention Screw-retained, with 2 splinted implants Screw-retained, with 2 splinted implants
Maxillomandibular Relationship -
Mesio-Distal Space Adequate for the replacement of all missing teeth
Inter-Arch Distance -
Bruxism Absent
Esthetic Risk High
Provisional Implant-Supported Prosthesis Prosthodontic margin >3 mm apical to mucosal crest Prosthodontic margin >3 mm apical to mucosal crest
Interim Prosthesis during Healing Removable Removable
Occlusion/Articulation Harmonious
Occlusal Scheme/Issues -

Surgical SAC Modifiers

Periodontal Status Healthy

Prosthodontic SAC Modifiers

Soft Tissue Contour and Volume Significantly deficient

General SAC Modifiers

Oral Hygiene and Compliance Good
Access Adequate
Craniofacial/Skeletal Growth Completed
Publication date: Oct 13, 2014 Last review date: Apr 10, 2024 Next review date: Apr 10, 2027

ITI QR code Mvc

Share this page

Download the QR code with a link to this page and use it in your presentations or share it on social media.

Download QR code
QR code