Open-Flap Debridement for the Management of Peri-Implant Mucositis Associated with Excess Cement - Clinical Case Report - Home
Clinical Case Report
Open-Flap Debridement for the Management of Peri-Implant Mucositis Associated with Excess Cement
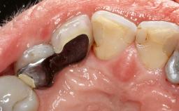
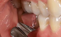
A 79-year-old female patient was referred to the Department of Periodontology of the University of Bern, Switzerland by her private dentist in May 2019. She had been rehabilitated in May 2005 with two tissue-level implants (Institut Straumann AG, Basel Switzerland) at sites 13 and 15, supporting a three-unit cemented fixed dental prosthesis (FDP). The metal-ceramic FDP had been cemented permanently with a glass-ionomer cement (Ketac Cem; 3M ESPE, Seefeld, Germany). Implant 13 had been diagnosed with peri-implant mucositis by the referring dentist in the course of regular supportive therapy. The patient was in good general health, did not smoke, and exhibited good self-performed plaque control.
- Surgical SAC classification
- -
- Prosthodontic SAC classification
- -
- Source
- Treatment Guide 13
- Purchase price
- 10 Academy Coins
- CPD/CME
- 0.25 hours
Share this page
Download the QR code with a link to this page and use it in your presentations or share it on social media.
Download QR code